
Univ.-Prof. Dr. Christoph J. Griessenauer,
MBA, FAANS, FACS, FEBNI


Primararzt für Neurochirurgie
Facharzt für Neurochirurgie in Österreich und den USA (ABNS)
Christian-Doppler-Klinik
Paracelsus Medizinische Privatuniversität
Salzburg, Österreich (Austria)
Neurochirurgische Eingriffe
Vaskuläre und endovaskuläre Neurochirurgie
Gehirnaneurysma (Clip, Coil, Flow Diverter)
Arteriovenöse Malformationen
Kavernome
Zerebraler Bypass
Schlaganfall-Thrombektomie
Spinale vaskuläre Malformationen
Minimal-invasive endoskopische Entleerung zerebraler Blutungen








Spinale Neurochirurgie
Wirbelsäulenchirurgie
Bandscheibenvorfall
Spinalkanalstenose
Wirbelgleiten
Querschnittssyndrome
Tumoren der Wirbelsäule und des Rückenmarks
Traumatische Verletzungen der Wirbelsäule




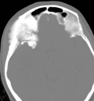
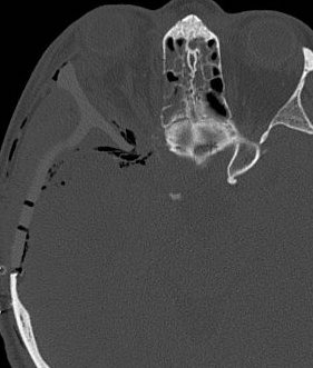
Tumor und Schädelbasischirurgie
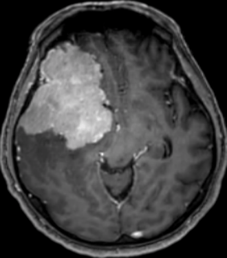
Primäre Hirntumore (Gliome, etc.)
Hirnmetastasen
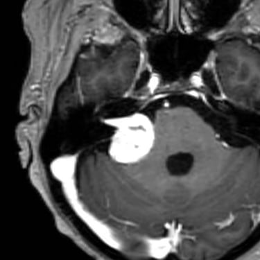
Tumoren der Schädelbasis (Meningiome, Vestibularisschwannome, etc.)
Chiari Malformationen
Operationen mit Neuromonitoring zur neurologischen Funktionserhaltung
Interdisziplinäre Zusammenarbeit mit den Universitätskliniken für Hals-Nasen-Ohren-Chirurgie und der Mund-Kiefer-Gesichts-Chirurgie




Schmerzsyndrome
Trigeminusneuralgie (Mikrovaskuläre Dekompression und Ballon-Rhizotomie)
Periphere Nervenchirurgie (Karpaltunnelsyndrom)
Trauma
Funktionelle und Epilepsiechirurgie
Chirurgie für fokale Epilepsien
Tiefe Hirnstimulation für Tremor und Parkinson an der Universitätsklinik für Neurochirurgie
Schädeldachplastik mit patienten-spezifischen 3D Implantaten
Interdisziplinäre Zusammenarbeit mit der Universitätsklinik für Neurologie




Ausbildung
Medizinstudium: Paracelsus Medizinische Universität, Salzburg, Österreich
Diplomarbeit: Yale University, New Haven, Connecticut, USA
Postdoctoral Research Fellow in Neural Engineering: Mayo Clinic, Rochester, Minnesota, USA
Facharztausbildung Neurochirurgie: University of Alabama at Birmingham, Alabama, USA
Vaskuläres und Endovaskuläres Fellowship: Beth Israel Deaconess Medical Center, Harvard University, Boston, Massachusetts, USA
Master of Business Administration: PennState University, State College, Pennsylvania, USA












Wissenschaft und Forschung
Als klinisch-wissenschaftlicher Neurochirurg habe ich großes Interesse daran, meine klinischen Aufgaben durch Wissenschaft und Forschung in den von uns behandelten neurochirurgischen Erkrankungen zu ergänzen. Seit meinem Studium und postgraduellen Ausbildung war ich an Grundlagenforschung, klinischer und translationaler Forschung beteiligt und habe bisher mehr als 450 wissenschaftliche Veröffentlichungen zur medizinischen Fachliteratur beigetragen sowie erfolgreich kompetitive Drittmittel eingeworben. Wir haben die Behandlung traumatischer zerebrovaskulärer Erkrankungen, genetische Polymorphismen im Zusammenhang mit zerebralen Aneurysmen und aneurysmatischen Subarachnoidalblutungen sowie die Behandlung von Thrombozytenaggregationshemmern im Zusammenhang mit der Flow-Diverter-Behandlung von zerebralen Aneurysmen untersucht, um nur einige Projekte zu nennen.








